Others
スタッフブログ
その他審美歯科
オフィスホワイトニングの研修
こんにちは。
歯科衛生士の小畑です☺️
先日今年入社の藤林さんのオフィスホワイトニングの研修を行いました。
初めての施術で緊張ぎみでしたが、1つ1つ丁寧にしていて凄く上手に出来ていました⭕️


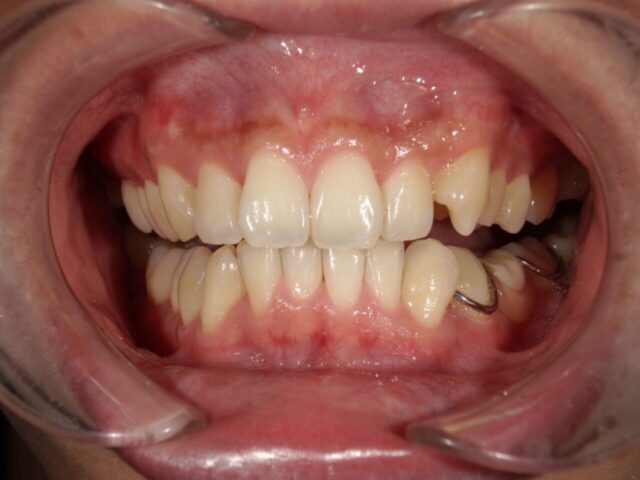
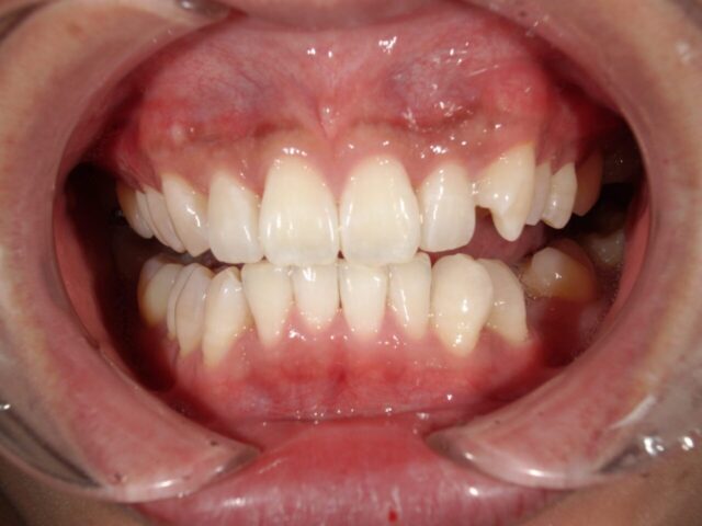
オフィスホワイトニング施術での一回の効果がこちら↓


どうですか?
凄く白くなっていませんか?😳
個人差はありますが、一回の施術でここまで白くなります✨
これにプラスしてホームホワイトニングを行うと更に白くなるので、みなさんも気になりましたら、是非ご相談ください🌟
